Maine Coons MC'B
Maine Coons MC'B
Home
Uitleg & regels Lees a.u.b.
voorwaarden
bezoekvoorwaarden
Kater ♂️
Raffael
Brutus
Buitendekking 😻❤️😻
Poes ♀️
Heaven
Honey Bee
Lola
Libby
Kitten info ⬇️
Kittens Honey 🍼
Kittens Libby 🍼
Benodigdheden
fotoalbums
foto 1
foto 2
Herplaatser
Honey VERKOCHT
Weetjes
garantie
prijzen
vraag & antw.
Kenmerken MCO
Maine Coon Kleuren - codes
stamboom
buitenverblijf
historie
verzorging
ontwormen
enten
voeding
Rood tandvlees
testen
Cattery testen
zieke kat
gevaar
web link partners
Vlooien
Contact
Zoeken
MC'B Coons Xavier *
Blue silver blotched as 22
NN geteste lijnen
pedigree
(Verhuisd naar collega Cattery Soot Spirits)
Xavier hcm/pkd PL/HD
Afbeelding – 167,0 KB
202 downloads
Download
Xavier hcm pkd patiëntendossier 1👍
Afbeelding – 124,4 KB
171 downloads
Download
Xavier hcm/pkd echo👍
Afbeelding – 109,7 KB
174 downloads
Download
Xavier screen HD heupen 👍
Afbeelding – 82,7 KB
158 downloads
Download
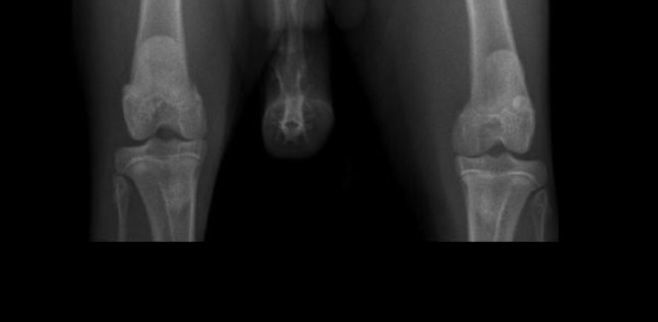
Xavier pl knieën 👍
Afbeelding – 17,4 KB
169 downloads
Download
Xavier stamboom testuitslagen👍
Afbeelding – 248,1 KB
141 downloads
Download
Xavier Fiv/Felv
Afbeelding – 872,1 KB
160 downloads
Download