Ga direct naar de hoofdinhoud
Maine Coons MC'B
Maine Coons MC'B
Home
Uitleg & regels Lees a.u.b.
voorwaarden
bezoekvoorwaarden
Kater ♂️
Raffael
Brutus
Buitendekking 😻❤️😻
Poes ♀️
Heaven
Honey Bee
Lola
Libby
Kitten info ⬇️
Kittens Libby 🍼
Kittens Lola 🍼
Benodigdheden
fotoalbums
foto 1
foto 2
Herplaatser
Honey VERKOCHT
Kittens Honey 🍼
Weetjes
garantie
prijzen
vraag & antw.
Kenmerken MCO
Maine Coon Kleuren - codes
stamboom
buitenverblijf
historie
verzorging
ontwormen
enten
voeding
Rood tandvlees
testen
Cattery testen
zieke kat
gevaar
web link partners
Vlooien
Contact
Zoeken
MC'B Coons Kelsy
23-08-2024
Pedigree NN 4e generatie
Blue silver ticked
Kelsy Fiv Felv 👌
Afbeelding – 6,3 MB
59 downloads
Download
Kelsy Hcm Pkd Cin 👌
Afbeelding – 1,1 MB
66 downloads
Download
Heupen
Afbeelding – 400,9 KB
41 downloads
Download
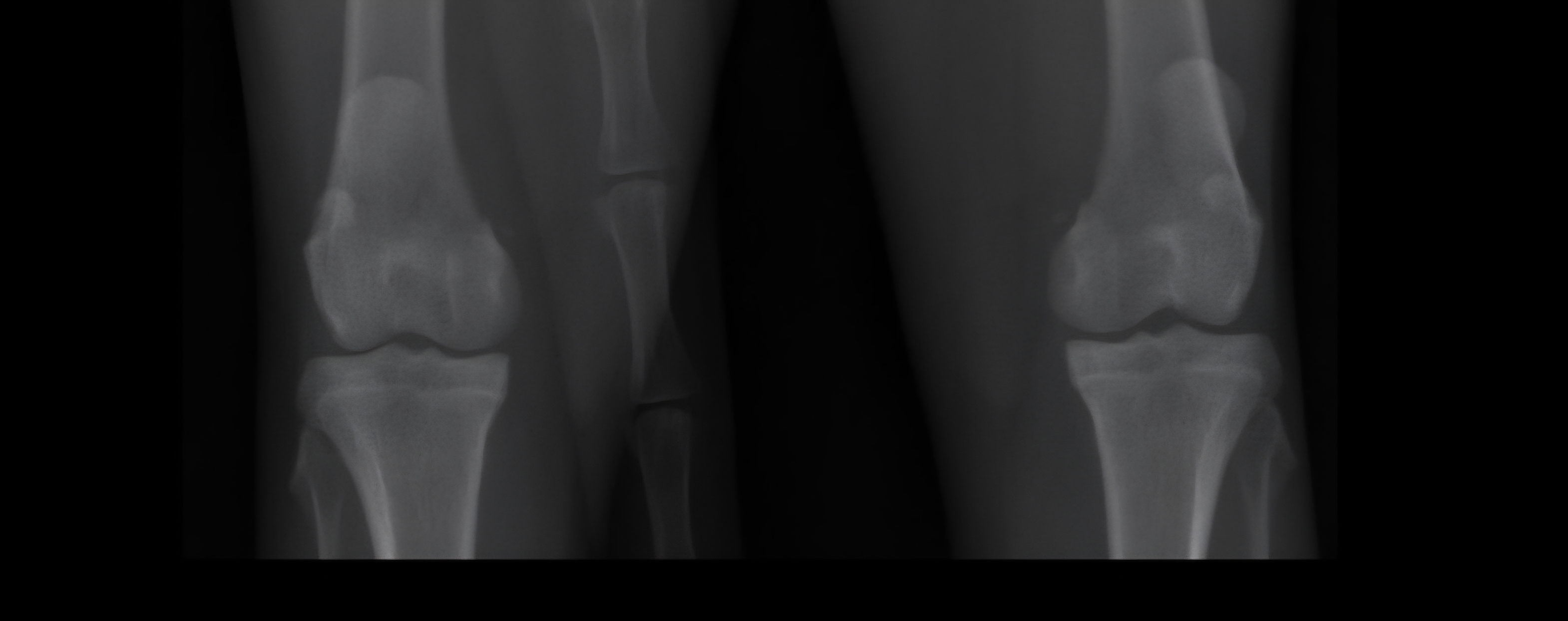
Knieen Jpg
Afbeelding – 732,3 KB
46 downloads
Download