Ga direct naar de hoofdinhoud
Maine Coons MC'B
Maine Coons MC'B
Home
Uitleg & regels Lees a.u.b.
voorwaarden
bezoekvoorwaarden
Kater ♂️
Raffael
Brutus
Buitendekking 😻❤️😻
Poes ♀️
Heaven
Honey Bee
Lola
Libby
Kitten info ⬇️
Kittens Libby 🍼
Kittens Lola 🍼
Benodigdheden
fotoalbums
foto 1
foto 2
Herplaatser
Honey VERKOCHT
Kittens Honey 🍼
Weetjes
garantie
prijzen
vraag & antw.
Kenmerken MCO
Maine Coon Kleuren - codes
stamboom
buitenverblijf
historie
verzorging
ontwormen
enten
voeding
Rood tandvlees
testen
Cattery testen
zieke kat
gevaar
web link partners
Vlooien
Contact
Zoeken
MC'B Coons Libby
16-09-2024
pedigree NN 5e generatie
Blue smoke
Libby Dna 👌
Word – 30,5 KB
16 downloads
Download
Libby Hcm Pkd Cin /echo hart-nieren👌
Afbeelding – 1,2 MB
78 downloads
Download
Libby Fiv Felv 👌
Afbeelding – 5,7 MB
64 downloads
Download
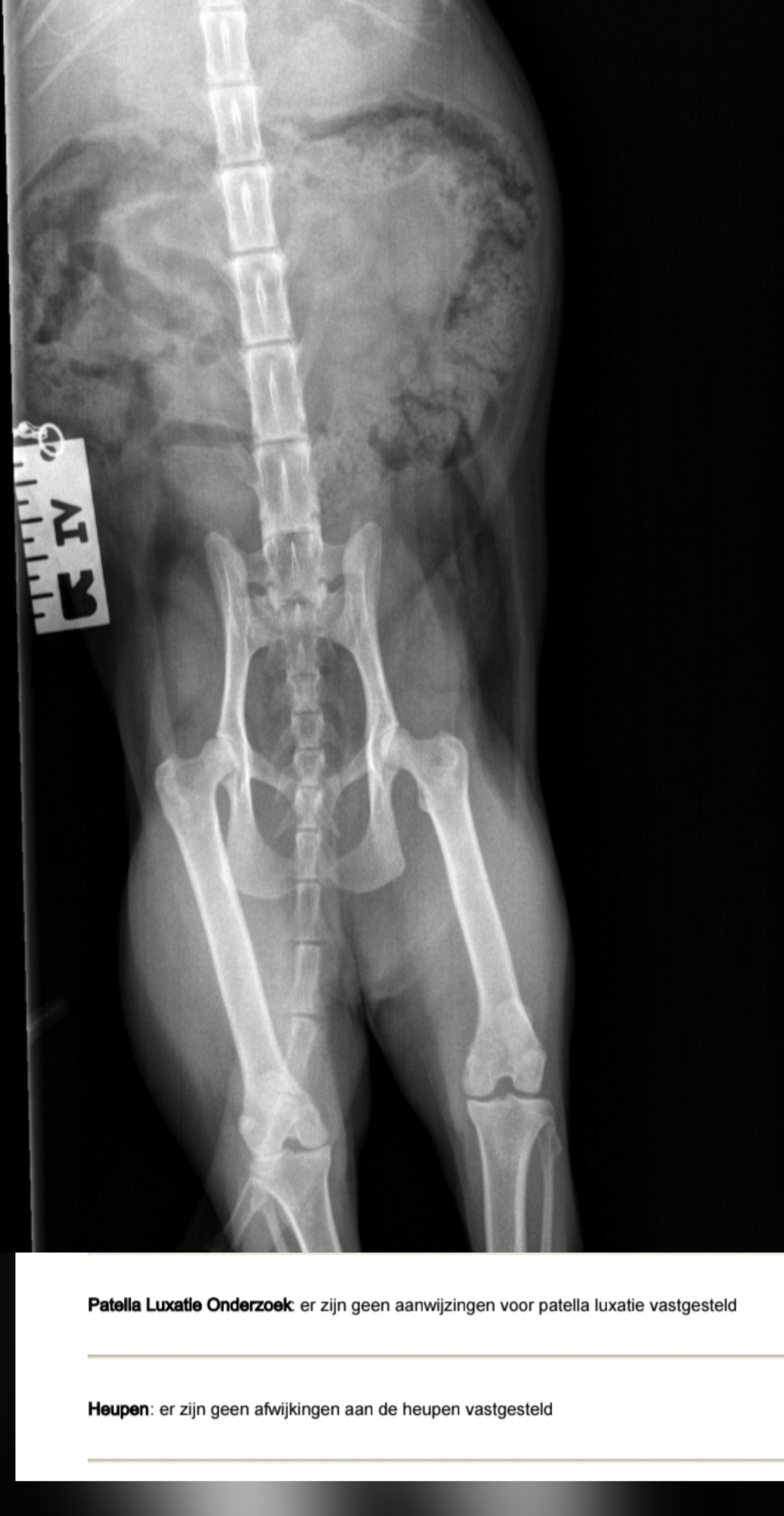
Heupen Knieen 👌
Afbeelding – 504,2 KB
53 downloads
Download